대표원장 단독시술 2011.07.14 ~ 2025.02.27
누적 사랑니 발치 231,780
누적 사랑니 발치 231,780
대표원장 단독시술 2011.07.14 ~ 2025.02.27

/_files/6wknYDM-w.png /_files/6wkpDQmMF.png
대표원장 단독기록
  • 2
  • 3
  • 1
  • 7
  • 8
  • 0

2011.07.14 ~ 2025.02.27

/_files/6sg-Fzcu5.jpg /_files/6sg-Fdm6Q.jpg

/_files/6kbyD-GgE.jpg /_files/6kbyzvNzE.jpg

ipsagui dental hospital

각 분야별 전문의 주요 진료과목 안내

ipsagui dental hospital

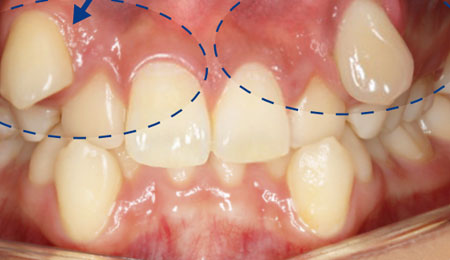
잎사귀치과병원 교정 전후 사진

본 사진은 동일 조건에서 촬영 되었으며 환자 본인의 동의를 얻어 게재되었습니다.
치아 표면의 탈회, 치근흡수 등의 부작용이 있을 수 있습니다.

  • 대학병원급 의료시설과

    연세대학교 치과대학
    임상교수 출신 의료진

    병원 둘러보기

1899-9976

사랑니발치
서울시 서대문구 명물길 32 (2층)
교정/임플란트
서울시 서대문구 명물길 32 (3층)
  • 평        일 09:30 ~ 19:00
  • 토  요  일 09:00 ~ 16:00
  • 토요일 점심시간 12:30 ~ 13:00
  • 점심시간 13:00 ~ 14:00
  • ※ 일요일 및 공휴일은 휴진입니다.
빠른예약 카톡상담 위로 전화상담 오시는길
사랑니발치 : 서울시 서대문구 명물길 32 (2층)
교정/임플란트 : 서울특별시 서대문구 명물길 32 (3층)
COPYRIGHT © 잎사귀치과병원. ALL RIGHTS RESERVED. Made By 유어데브.